5歳から10歳の小児矯正
「マイオブレース矯正」
このようなお子様におすすめ
ガタガタ
開咬
過蓋咬合
受け口
出っ歯
マイオブレース矯正は、マウスピース型の小児矯正システムです。
出っ歯や受け口、また歯の重なりなどの症状が見られるお子さまに特に向いています。
成長段階にある5歳から10歳ごろまでのお子さまにご案内しており、この時期に矯正を始めることで、歯並びや噛み合わせを整えやすくなります。
早期の治療を通して、顎や歯列の成長を正しい方向に導くことができ、将来の歯並びを改善するための効果的な手段となります。
マイオブレース矯正の特徴
マイオブレース矯正は、早期の予防矯正治療で、歯並びの根本原因にアプローチすることを目的としています。多くの場合、抜歯やブラケットを使用せずに、自然な成長と発達を促します。治療の対象年齢は5~10歳ごろで、取り外し可能な装置を1日1時間と夜間の睡眠中に装着します。
また、間違った口腔習癖を改善するために開発された装置で、鼻呼吸や正しい舌の位置、飲み込み方を教えることで、顎の発達を促し、歯が自然に収まるスペースを確保します。
ブラケットを使わずにまっすぐな歯並びが期待できる治療法です。
治療の進め方
マイオブレース矯正は、まず口腔習癖の改善から始まり、歯列不正の原因に対処するために3つ以上の装置を併用し、成長に伴って歯並びを整えていきます。
口腔習癖が見つかり次第、早期に治療を開始することができますが、年齢が上がると習癖が定着してしまうため、より努力が必要になります。治療の指示を守ることで理想的な結果を目指します。
当院は、『Myobrace® Member
加盟歯科医院』です!加盟するには下記の条件を満たす必要があります。
Myobrace矯正を50症例以上実施
院内にアクティビティと
コンサルルームが設置一年以内に講習会に出席
プライム総合歯科では、上記の条件や審査をクリアしオーストラリア本部からMyobraceMember(マイオブレースメンバー)の認定を受けている歯科医院です。
マイオブレース矯正治療の流れ
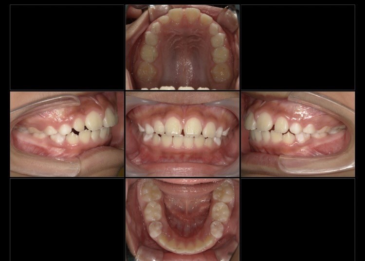
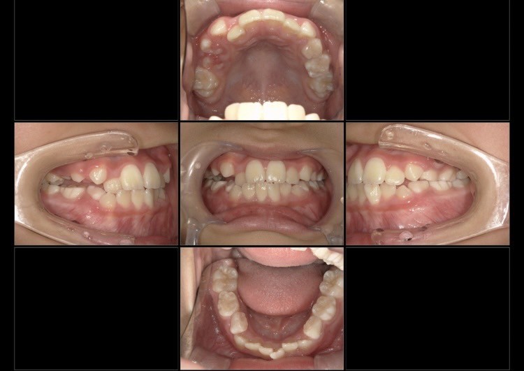
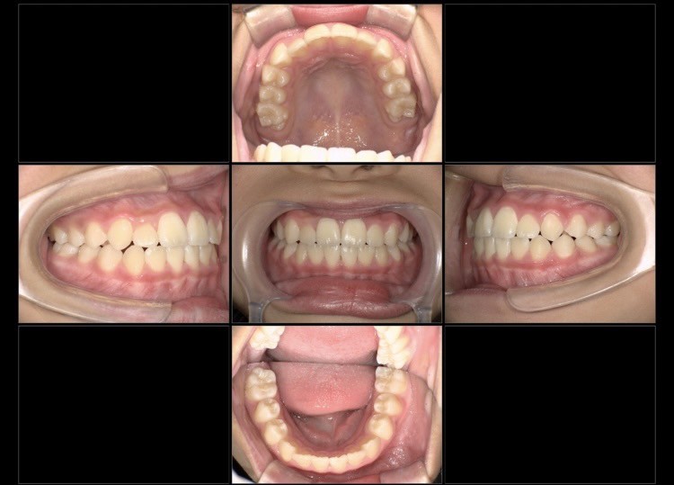
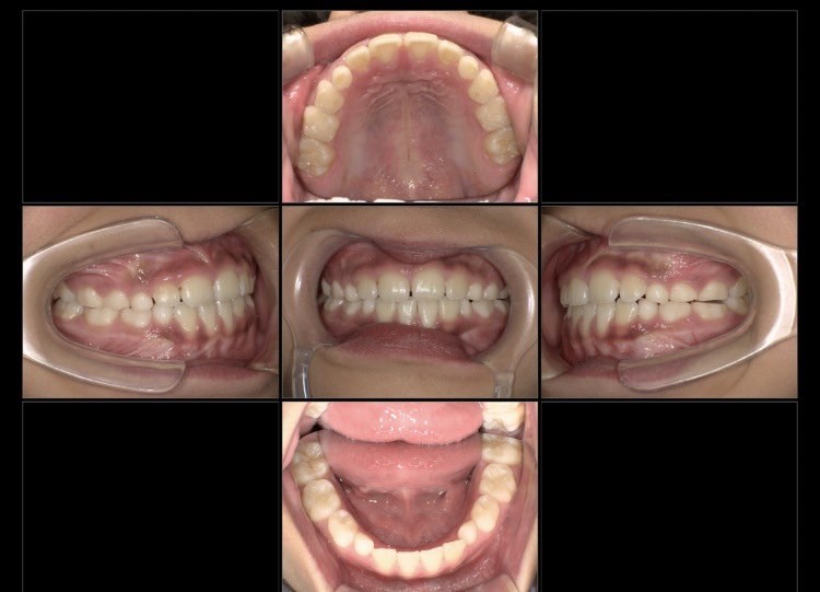
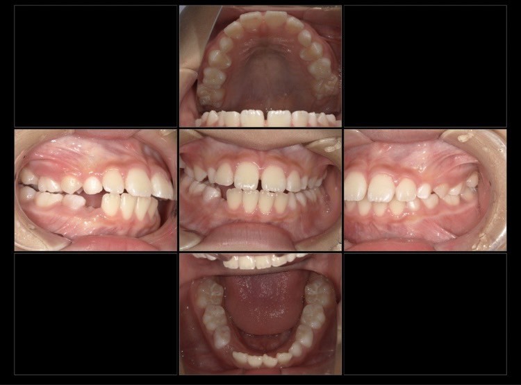
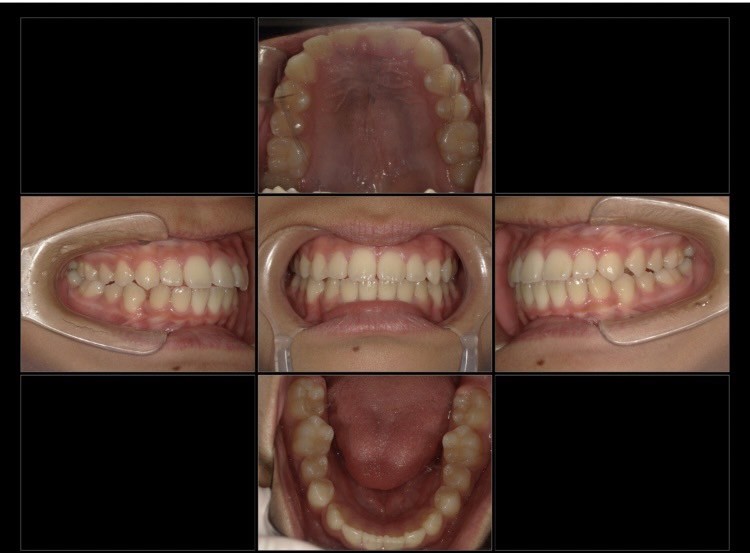
症例
マイオブレース矯正治療の費用
¥330,000
(税込)
相談・検査・診断・治療までの標準料金
※施術は自由診療です
管理料/毎月
¥2,750
(税込)
治療期間目安
2年-3年
治療回数目安
28-40回
リスク・副作用
装置を用いることで習癖改善の手助けになりますが装着だけで自然に鼻呼吸を誘導できるものではなく、患者さんに1日10分程度の筋機能訓練を行なって頂くこと(患者と家族の協力)が必要です。また、装置の着脱においても親御さまのご協力が必要となります。
担当歯科医師
堀澤 佳史
お支払いについて
現金/クレジットカード/デンタルローン
ドクター紹介
プライム総合歯科クリニック 歯科医師
第二種歯科滅菌管理者
堀澤 佳史
経歴
明海大学歯学部 卒業
明海大学歯学部付属病院 臨床研修終了
明海大学形態機能成育学講座口腔小児学分野入局
公益社団法人 日本小児歯科学会 会員
穴吹医療大学校 歯科衛生学科講師
「プレオルソ」こども歯並び矯正法
アドバンスコース受講
[Myofunctional Influences on Facial Growth and the Dentition]
by Dr.John Flutter 受講
「Epi-genetic Orthopedic」
by 塩田 雅郎先生 受講
「Digital and Basic Orthodontics Seminar」
by 白鳥 裕一先生 受講
お子さまが健康な歯並びと笑顔を手に入れるために、私たちは全力でサポートいたします。
お子さまの歯並びや噛み合わせは、将来の健康や自信に大きく影響を与えます。当院では、お子さま一人ひとりの成長段階に合わせた最適な矯正治療を提供しています。成長期の矯正は、顎の発育を利用して歯並びを整えるため、抜歯のリスクを減らし、より自然な歯並びを実現することが可能です。
私たちは、お子さまが不安や恐怖を感じることなく治療を進められるよう、親子ルームなどリラックスできる環境を整えています。親御さまとのコミュニケーションを大切にし、治療の進め方や装置の使い方を丁寧に説明しながら、安心して治療に取り組んでいただけるよう努めています。
お子さまが健康な歯並びと笑顔を手に入れるために、私たちは全力でサポートいたします。まずはお気軽にご相談ください。
プライム総合歯科クリニックの
小児矯正治療 3つの特徴
矯正以外の治療にも
幅広く対応可能です装置を取り付けることで、口腔内のケアがこれまで以上に重要になります。当院では、ブラッシング指導に加え、フッ素塗布やシーラントなどの予防処置も提供しておりますので、心配な点があればいつでもご相談ください。
もし虫歯ができてしまった場合でも、院内で迅速に治療が可能です。当院には小児歯科医が在籍しており、矯正治療と並行して虫歯治療などの一般歯科治療に対応することができます。矯正治療だけでなく、口腔全体の健康管理をしっかりと行えることが当院の強みです。さらに、舌癖などの問題がある場合には、筋機能トレーニングにも対応していますので、気になる場合はご相談ください。
小児矯正の大きなメリット
「将来の抜歯リスク」が激減小児矯正の大きな特徴は、抜歯のリスクが低いことです。永久歯がきれいに並ぶことを目指し、歯を抜くのではなく、顎の骨を広げることで歯が並ぶスペースを確保していきます。この方法は、顎の成長を促しながら進めるため、痛みが少ないことも特徴です。
矯正治療を始める時期の目安は、永久歯が生え始める5歳頃です。お子さまのライフスタイルやイベントの時期なども考慮して治療のタイミングを決定しますので、まずは一度歯の状態を見せていただければと思います。初回のご来院では、検査とカウンセリングを行い、いきなり治療を始めることはありません。親御さまとしっかりお話しし、ご納得いただいた上で治療の方針を決めていきます。
筋機能トレーニングで
悪癖を改善できますお子さまの矯正治療において、注意が必要なのは舌癖や指しゃぶりなどの習慣です。これらの悪習慣は、歯並びに悪影響を与え、出っ歯や歯の隙間ができる原因となることがあります。これらが改善されないままだと、治療が計画通りに進まない場合もあるため、当院ではお口周りの筋機能トレーニングも併せてご提案しています。
筋機能トレーニングは、鼻呼吸の習慣、舌の正しい動き、正しい飲み込み方を習得するためのもので継続的な訓練により改善が期待できます。
お子さまが積極的に取り組めるように、動画を用いた説明や、ご自宅でも行えるトレーニング方法を詳しくお伝えしています。もしお子さまの癖について気になる点がございましたら、どうぞお気軽に歯科医師までご相談ください。
親子ルームを完備!
小児矯正を成功させる
鍵は「通いやすさ」お子さまの矯正治療を成功させるためには、不安や恐怖心をできるだけ取り除くことが大切です。当院では、お子さまが安心して治療を受けられるよう、リラックスできる環境を整えています。まずは気軽な気持ちでご相談にお越しいただければと思います。
診療室に入ることを嫌がるお子さまも多いですが、当院では親子で一緒に入室できる「親子ルーム」をご用意しています。この部屋は診療台2台分の広さがあり、親御さまはもちろん、ご兄弟がいる場合でもベビーカーをそのままご利用いただけます。お子さまが安心して治療に臨めるよう、家族全員でリラックスできる空間です。
さらに、矯正治療中に万が一虫歯になってしまった場合でも、この親子ルームで治療が可能です。できる限り痛みの少ない治療を心掛け、再発予防のためのケアやアドバイスも行います。お子さまが治療に前向きになれるよう、親身にサポートいたしますので、ご一緒に治療のゴールを目指して頑張りましょう。
小児矯正治療の
よくあるご質問








































