




FEATURE
プライム総合歯科クリニックの
インプラント治療 6つの特徴
01.

日本口腔インプラント学会
“専門医”が手術を担当日本口腔インプラント学会は1万人以上の会員が所属しており、厚生労働省に正式に認められた学会です。同学会が認定するインプラント専門医は、正しい知識と豊富な経験を持つ医師であり、インプラント治療に必要な知識と技術を有していることの証明です。

02.

歯茎を大きく切開しない
「フラップレス手術」で、
腫れや痛みを軽減。プライム総合歯科クリニックでは、手術の際に歯茎を大きく切らない「フラップレス手術」を行っています。顎の骨に4mm~5mmの穴をあけて、インプラントを埋め込みます。この手術方法は、出血や腫れ、手術時間を最小限に抑えることが可能で、術後の患者さまの負担軽減につながります。
患者さまの症例によりフラップレス手術が適用できない場合がありますが、まずは、事前診断で、フラップレス手術の適応可否を診断します。03.

術後の審美性や機能性を逆算
「トップダウントリートメント」インプラントの治療法として、トップダウントリートメントと呼ばれる技術を採用しました。手術が始まる前の段階で、最終的にかぶせる人工歯の形状を決めて、そこからインプラントを埋め込む位置や方向を決める方法です。これにより、治療後のキレイな見た目と、適切な噛み合わせなどを計画的に作ることができます。
04.

様々な機器を使用して徹底する
「治療シュミレーション」骨の厚みや神経・血管の位置は患者さまお一人おひとり異なります。プライム総合歯科クリニックでは歯科用CTと口腔内スキャナーを用いて詳細な検査を行い、治療シミュレーションを実施しています。歯や骨を立体的に把握し、目で見て分かりやすい説明と、手術リスクの軽減に役立てています。
05.

すべてのインプラント治療に
「サージカルガイド」を使用実際の手術では手術の指針を明確にする「サージカルガイド」と呼ばれる器具を使います。事前の計画通りの位置や深さ、角度でインプラントを埋め込むために使用します。かつては術者の経験と勘に依存していたインプラントのポジション決定が、現在ではサージカルガイドによって確実に行われています。この方法により、治療の安全性と正確性が大幅に向上させています。
06.

感染管理と充実した設備の
「手術室」を完備プライム総合歯科クリニックでは手術室を完備しており、手元に影が発生しない無影灯や、細部を拡大して見ることができるマイクロスコープも備えています。また、特にインプラント手術のような外科手術では手術室を設けて感染管理を徹底することがとても重要になります。様々な設備環境を用意し、安全安心のインプラント治療ができるよう徹底をしております。

FEATURE
プライム総合歯科クリニックの
インプラント治療 6つの特徴
01.

日本口腔インプラント学会
“専門医”が手術を担当日本口腔インプラント学会は1万人以上の会員が所属しており、厚生労働省に正式に認められた学会です。同学会が認定するインプラント専門医は、正しい知識と豊富な経験を持つ医師であり、インプラント治療に必要な知識と技術を有していることの証明です。

02.

歯茎を大きく切開しない
「フラップレス手術」で、
腫れや痛みを軽減。プライム総合歯科クリニックでは、手術の際に歯茎を大きく切らない「フラップレス手術」を行っています。顎の骨に4mm~5mmの穴をあけて、インプラントを埋め込みます。この手術方法は、出血や腫れ、手術時間を最小限に抑えることが可能で、術後の患者さまの負担軽減につながります。
患者さまの症例によりフラップレス手術が適用できない場合がありますが、まずは、事前診断で、フラップレス手術の適応可否を診断します。03.

術後の審美性や機能性を逆算
「トップダウントリートメント」インプラントの治療法として、トップダウントリートメントと呼ばれる技術を採用しました。手術が始まる前の段階で、最終的にかぶせる人工歯の形状を決めて、そこからインプラントを埋め込む位置や方向を決める方法です。これにより、治療後のキレイな見た目と、適切な噛み合わせなどを計画的に作ることができます。
04.

様々な機器を使用して徹底する
「治療シュミレーション」骨の厚みや神経・血管の位置は患者さまお一人おひとり異なります。プライム総合歯科クリニックでは歯科用CTと口腔内スキャナーを用いて詳細な検査を行い、治療シミュレーションを実施しています。歯や骨を立体的に把握し、目で見て分かりやすい説明と、手術リスクの軽減に役立てています。
05.

すべてのインプラント治療に
「サージカルガイド」を使用実際の手術では手術の指針を明確にする「サージカルガイド」と呼ばれる器具を使います。事前の計画通りの位置や深さ、角度でインプラントを埋め込むために使用します。かつては術者の経験と勘に依存していたインプラントのポジション決定が、現在ではサージカルガイドによって確実に行われています。この方法により、治療の安全性と正確性が大幅に向上させています。
06.

感染管理と充実した設備の
「手術室」を完備プライム総合歯科クリニックでは手術室を完備しており、手元に影が発生しない無影灯や、細部を拡大して見ることができるマイクロスコープも備えています。また、特にインプラント手術のような外科手術では手術室を設けて感染管理を徹底することがとても重要になります。様々な設備環境を用意し、安全安心のインプラント治療ができるよう徹底をしております。

FEATURE
プライム総合歯科クリニックの
インプラント治療 6つの特徴
01.

日本口腔インプラント学会
“専門医”が手術を担当日本口腔インプラント学会は1万人以上の会員が所属しており、厚生労働省に正式に認められた学会です。同学会が認定するインプラント専門医は、正しい知識と豊富な経験を持つ医師であり、インプラント治療に必要な知識と技術を有していることの証明です。

02.

歯茎を大きく切開しない
「フラップレス手術」で、
腫れや痛みを軽減。プライム総合歯科クリニックでは、手術の際に歯茎を大きく切らない「フラップレス手術」を行っています。顎の骨に4mm~5mmの穴をあけて、インプラントを埋め込みます。この手術方法は、出血や腫れ、手術時間を最小限に抑えることが可能で、術後の患者さまの負担軽減につながります。
患者さまの症例によりフラップレス手術が適用できない場合がありますが、まずは、事前診断で、フラップレス手術の適応可否を診断します。03.

術後の審美性や機能性を逆算
「トップダウントリートメント」インプラントの治療法として、トップダウントリートメントと呼ばれる技術を採用しました。手術が始まる前の段階で、最終的にかぶせる人工歯の形状を決めて、そこからインプラントを埋め込む位置や方向を決める方法です。これにより、治療後のキレイな見た目と、適切な噛み合わせなどを計画的に作ることができます。
04.

様々な機器を使用して徹底する
「治療シュミレーション」骨の厚みや神経・血管の位置は患者さまお一人おひとり異なります。プライム総合歯科クリニックでは歯科用CTと口腔内スキャナーを用いて詳細な検査を行い、治療シミュレーションを実施しています。歯や骨を立体的に把握し、目で見て分かりやすい説明と、手術リスクの軽減に役立てています。
05.

すべてのインプラント治療に
「サージカルガイド」を使用実際の手術では手術の指針を明確にする「サージカルガイド」と呼ばれる器具を使います。事前の計画通りの位置や深さ、角度でインプラントを埋め込むために使用します。かつては術者の経験と勘に依存していたインプラントのポジション決定が、現在ではサージカルガイドによって確実に行われています。この方法により、治療の安全性と正確性が大幅に向上させています。
06.

感染管理と充実した設備の
「手術室」を完備プライム総合歯科クリニックでは手術室を完備しており、手元に影が発生しない無影灯や、細部を拡大して見ることができるマイクロスコープも備えています。また、特にインプラント手術のような外科手術では手術室を設けて感染管理を徹底することがとても重要になります。様々な設備環境を用意し、安全安心のインプラント治療ができるよう徹底をしております。

FEATURE
プライム総合歯科クリニックの
インプラント治療 6つの特徴
01.

日本口腔インプラント学会
“専門医”が手術を担当日本口腔インプラント学会は1万人以上の会員が所属しており、厚生労働省に正式に認められた学会です。同学会が認定するインプラント専門医は、正しい知識と豊富な経験を持つ医師であり、インプラント治療に必要な知識と技術を有していることの証明です。

02.

歯茎を大きく切開しない
「フラップレス手術」で、
腫れや痛みを軽減。プライム総合歯科クリニックでは、手術の際に歯茎を大きく切らない「フラップレス手術」を行っています。顎の骨に4mm~5mmの穴をあけて、インプラントを埋め込みます。この手術方法は、出血や腫れ、手術時間を最小限に抑えることが可能で、術後の患者さまの負担軽減につながります。
患者さまの症例によりフラップレス手術が適用できない場合がありますが、まずは、事前診断で、フラップレス手術の適応可否を診断します。03.

術後の審美性や機能性を逆算
「トップダウントリートメント」インプラントの治療法として、トップダウントリートメントと呼ばれる技術を採用しました。手術が始まる前の段階で、最終的にかぶせる人工歯の形状を決めて、そこからインプラントを埋め込む位置や方向を決める方法です。これにより、治療後のキレイな見た目と、適切な噛み合わせなどを計画的に作ることができます。
04.

様々な機器を使用して徹底する
「治療シュミレーション」骨の厚みや神経・血管の位置は患者さまお一人おひとり異なります。プライム総合歯科クリニックでは歯科用CTと口腔内スキャナーを用いて詳細な検査を行い、治療シミュレーションを実施しています。歯や骨を立体的に把握し、目で見て分かりやすい説明と、手術リスクの軽減に役立てています。
05.

すべてのインプラント治療に
「サージカルガイド」を使用実際の手術では手術の指針を明確にする「サージカルガイド」と呼ばれる器具を使います。事前の計画通りの位置や深さ、角度でインプラントを埋め込むために使用します。かつては術者の経験と勘に依存していたインプラントのポジション決定が、現在ではサージカルガイドによって確実に行われています。この方法により、治療の安全性と正確性が大幅に向上させています。
06.

感染管理と充実した設備の
「手術室」を完備プライム総合歯科クリニックでは手術室を完備しており、手元に影が発生しない無影灯や、細部を拡大して見ることができるマイクロスコープも備えています。また、特にインプラント手術のような外科手術では手術室を設けて感染管理を徹底することがとても重要になります。様々な設備環境を用意し、安全安心のインプラント治療ができるよう徹底をしております。








Doctor
ドクター紹介
プライム総合歯科クリニック院長
HIROYUKI ISHII
石井 弘之
資
格
日本口腔インプラント学会専門医
日本インプラント臨床研究会
日本顎咬合学会
経
歴
長崎大学歯学部卒業(2000年)
ふじわら歯科クリニック副院長
医療法人グローバル会理事長
プライム総合歯科クリニック開院(2021年)
体に負担の少ない「フラップレス手術」だからできる安心安全のインプラント治療
プライム総合歯科クリニックでは、フラップレス手術を用いたインプラント治療を導入しています。フラップレス手術は、近年開発された「歯茎の切開を最小限に留めるインプラント手術」で、事前の綿密なシュミレーションを行ったうえで手術を行います。切開や縫合を行わないため術後の痛み腫れが大きく軽減します。




この手術は骨の状態を目で見て確認できないため、医師の豊富な経験と技術が不可欠です。プライム総合歯科では、インプラント専門医の資格を持った医師が、フラップレス手術の豊富な治療実績をもって治療を行います。




また、当院では、安心してインプラント手術を受けていただくための様々な取り組みを行っています。
いくつもの高度な診断機器を用いて術前のシュミレーションを行い、実際の手術には手術室を完備し、専門の麻酔医や歯科技工士も連携し万全の体制を整えています。




さらには、術後のメインテナンスにはインプラント専門の歯科衛生士が担当制できちんと行います。健康寿命を延ばすためにもぜひプライム総合歯科クリニックでインプラント治療をご検討ください。




"香川の医療最前線"
にてTV出演!
RNC西日本放送 "香川の医療最前線" にTV出演した際の動画です。実際の患者さまの声も聞けますので インプラントをご検討されている方は是非ご覧ください










ご存知ですか?
機能性・審美性に優れた
「インプラント治療」
歯を失った部分の顎の骨に人工の歯根を埋め込み、人工的な歯冠(被せ物)を作成することで、噛み合わせや見た目を回復する歯科治療を「インプラント治療」と呼びます。インプラントの本体は主にチタンで作られており、生体親和性が高いため、アレルギー反応を起こしにくい特性があります。
この治療法は、1本の歯を失った場合から全ての歯を失った場合まで幅広く適用可能です。「第二の永久歯」とも称されるインプラントは、天然歯と同様にセルフケアと歯科医院での定期的なメンテナンスを行うことで、長期的に使用できます。
インプラントの構造について




インプラントは、被せ物、アバットメント、インプラントの3つのパーツで構成されています。


被せ物(上部構造)
インプラントの人工の歯の部分は、アバットメントの上にネジや接着剤で固定されます。材質には金属、レジン(樹脂)、セラミック、ジルコニアなどが使用されます。基本的には取り外しが可能で、問題が生じた場合には取り外して作り替えることもできます。






アバットメント
根の部分(インプラント)と人工の歯の部分を連結するパーツを「アバットメント」と呼び、チタン製やセラミック製のものがあります。アバットメントは人工の歯の土台として、噛む力をしっかりと受け止める役割を果たします。


インプラント
インプラントはネジのような形をしており、チタンで作られています。チタンは顎の骨としっかり結合するため、一度結合したインプラントは本物の歯根のように安定し、長期にわたり噛む力を受け止めることができます。よほど強い力が加わらない限り、折れることなく耐久性を保ちます。インプラントにはさまざまなサイズがあり、埋め込む場所や患者さんの顎の骨量に応じて適切なサイズが選ばれます。近年では、より結合しやすい表面加工が施されるなど、品質の向上が進んでいます。


ご存知ですか?
歯を失った歯を
取り戻す「3つの治療法」




ブリッジ治療
ブリッジ治療は、抜けた歯の両隣の歯を削り、そこに3本つながった被せ物を装着することで、歯を失った部分にも歯があるように見せる治療法です。手術が不要で、治療費もインプラントと比較すると安価になる傾向です。
ただし、健康な歯を大きく削る必要があります。場合によっては神経を取る必要が出たり、エナメル質を失うことで虫歯のリスクが高まったりもします。さらに、失った歯の部分の咬む力は両隣の歯が支えることになるため、これらの歯に問題が生じやすくなることもあります。




入れ歯
入れ歯は、残っている歯に金属の留め金をかけて固定し、歯と歯ぐきで噛む力を支えます。実際には、噛む力がかかると歯ぐきが変形して入れ歯が沈み込むため、噛む力のほとんどを周りの残っている歯が支えることになります。そのため、ブリッジの場合と同様に、周りの歯に大きな負担がかかり、他の歯を失うリスクが高まります。入れ歯には、違和感が大きい、しっかり噛めない、見た目が悪いなどの欠点がありますが、短期間で製作できることや、1本の欠損から総入れ歯まであらゆるケースに対応できるというメリットもあります。




インプラント
インプラントは、失った歯の部分の骨にチタン製の人工歯根を埋め込み、その上に人工歯をネジで固定する治療法です。この方法は噛む力を骨がしっかり支えるため、周りの歯に負担をかけることがなく、天然歯を残すために最も優れた治療法と言えます。ブリッジや入れ歯の場合に生じる問題点(周りの歯に大きな負担がかかること)を解決できるのは、唯一インプラント治療だけです。また、治療の寿命についても、これらの中で最も長く、ほとんどのケースで20年近く機能します。しかし、インプラント治療には手術が必要であること、健康保険が適用できないこと、そして他の2つに比べて治療期間が長くなることなどの欠点があります。




インプラントの
メリットデメリットまとめ
インプラントのメリット
メリット01.
違和感が少なく
噛む力が天然歯に近いインプラントは人工の歯が顎の骨にしっかりと固定されるため、天然歯とほとんどかわらない噛み心地や噛む力を回復させることができます。入れ歯を入れた時のような圧迫感や違和感が少ないです。
メリット02.
見た目が自然で
審美性に優れている入れ歯やブリッジの場合、金属のバネが見えたり、素材によっては色や不自然に見えたりしてしまう場合があります。インプラントは主にセラミックの人工歯を使用するため、天然歯に近い自然な見た目を得ることができます。
メリット03.
残っている歯を
長持ちさせることができる入れ歯やブリッジは健康な歯の寿命を短くするリスクがありますが、インプラントは隣の歯を犠牲にせず単独で機能するため他の歯に負担がかかるのを防ぐことができるので、その分残っている歯を長持ちさせることができます。
メリット01.
違和感が少なく
噛む力が天然歯に近いインプラントは人工の歯が顎の骨にしっかりと固定されるため、天然歯とほとんどかわらない噛み心地や噛む力を回復させることができます。入れ歯を入れた時のような圧迫感や違和感が少ないです。
メリット02.
見た目が自然で
審美性に優れている入れ歯やブリッジの場合、金属のバネが見えたり、素材によっては色や不自然に見えたりしてしまう場合があります。インプラントは主にセラミックの人工歯を使用するため、天然歯に近い自然な見た目を得ることができます。
メリット03.
残っている歯を
長持ちさせることができる入れ歯やブリッジは健康な歯の寿命を短くするリスクがありますが、インプラントは隣の歯を犠牲にせず単独で機能するため他の歯に負担がかかるのを防ぐことができるので、その分残っている歯を長持ちさせることができます。
メリット01.
違和感が少なく
噛む力が天然歯に近いインプラントは人工の歯が顎の骨にしっかりと固定されるため、天然歯とほとんどかわらない噛み心地や噛む力を回復させることができます。入れ歯を入れた時のような圧迫感や違和感が少ないです。
メリット02.
見た目が自然で
審美性に優れている入れ歯やブリッジの場合、金属のバネが見えたり、素材によっては色や不自然に見えたりしてしまう場合があります。インプラントは主にセラミックの人工歯を使用するため、天然歯に近い自然な見た目を得ることができます。
メリット03.
残っている歯を
長持ちさせることができる入れ歯やブリッジは健康な歯の寿命を短くするリスクがありますが、インプラントは隣の歯を犠牲にせず単独で機能するため他の歯に負担がかかるのを防ぐことができるので、その分残っている歯を長持ちさせることができます。
メリット01.
違和感が少なく
噛む力が天然歯に近いインプラントは人工の歯が顎の骨にしっかりと固定されるため、天然歯とほとんどかわらない噛み心地や噛む力を回復させることができます。入れ歯を入れた時のような圧迫感や違和感が少ないです。
メリット02.
見た目が自然で
審美性に優れている入れ歯やブリッジの場合、金属のバネが見えたり、素材によっては色や不自然に見えたりしてしまう場合があります。インプラントは主にセラミックの人工歯を使用するため、天然歯に近い自然な見た目を得ることができます。
メリット03.
残っている歯を
長持ちさせることができる入れ歯やブリッジは健康な歯の寿命を短くするリスクがありますが、インプラントは隣の歯を犠牲にせず単独で機能するため他の歯に負担がかかるのを防ぐことができるので、その分残っている歯を長持ちさせることができます。
メリット01.
違和感が少なく
噛む力が天然歯に近いインプラントは人工の歯が顎の骨にしっかりと固定されるため、天然歯とほとんどかわらない噛み心地や噛む力を回復させることができます。入れ歯を入れた時のような圧迫感や違和感が少ないです。
メリット02.
見た目が自然で
審美性に優れている入れ歯やブリッジの場合、金属のバネが見えたり、素材によっては色や不自然に見えたりしてしまう場合があります。インプラントは主にセラミックの人工歯を使用するため、天然歯に近い自然な見た目を得ることができます。
メリット03.
残っている歯を
長持ちさせることができる入れ歯やブリッジは健康な歯の寿命を短くするリスクがありますが、インプラントは隣の歯を犠牲にせず単独で機能するため他の歯に負担がかかるのを防ぐことができるので、その分残っている歯を長持ちさせることができます。
メリット01.
違和感が少なく
噛む力が天然歯に近いインプラントは人工の歯が顎の骨にしっかりと固定されるため、天然歯とほとんどかわらない噛み心地や噛む力を回復させることができます。入れ歯を入れた時のような圧迫感や違和感が少ないです。
メリット02.
見た目が自然で
審美性に優れている入れ歯やブリッジの場合、金属のバネが見えたり、素材によっては色や不自然に見えたりしてしまう場合があります。インプラントは主にセラミックの人工歯を使用するため、天然歯に近い自然な見た目を得ることができます。
メリット03.
残っている歯を
長持ちさせることができる入れ歯やブリッジは健康な歯の寿命を短くするリスクがありますが、インプラントは隣の歯を犠牲にせず単独で機能するため他の歯に負担がかかるのを防ぐことができるので、その分残っている歯を長持ちさせることができます。
メリット01.
違和感が少なく
噛む力が天然歯に近いインプラントは人工の歯が顎の骨にしっかりと固定されるため、天然歯とほとんどかわらない噛み心地や噛む力を回復させることができます。入れ歯を入れた時のような圧迫感や違和感が少ないです。
メリット02.
見た目が自然で
審美性に優れている入れ歯やブリッジの場合、金属のバネが見えたり、素材によっては色や不自然に見えたりしてしまう場合があります。インプラントは主にセラミックの人工歯を使用するため、天然歯に近い自然な見た目を得ることができます。
メリット03.
残っている歯を
長持ちさせることができる入れ歯やブリッジは健康な歯の寿命を短くするリスクがありますが、インプラントは隣の歯を犠牲にせず単独で機能するため他の歯に負担がかかるのを防ぐことができるので、その分残っている歯を長持ちさせることができます。
メリット01.
違和感が少なく
噛む力が天然歯に近いインプラントは人工の歯が顎の骨にしっかりと固定されるため、天然歯とほとんどかわらない噛み心地や噛む力を回復させることができます。入れ歯を入れた時のような圧迫感や違和感が少ないです。
メリット02.
見た目が自然で
審美性に優れている入れ歯やブリッジの場合、金属のバネが見えたり、素材によっては色や不自然に見えたりしてしまう場合があります。インプラントは主にセラミックの人工歯を使用するため、天然歯に近い自然な見た目を得ることができます。
メリット03.
残っている歯を
長持ちさせることができる入れ歯やブリッジは健康な歯の寿命を短くするリスクがありますが、インプラントは隣の歯を犠牲にせず単独で機能するため他の歯に負担がかかるのを防ぐことができるので、その分残っている歯を長持ちさせることができます。
インプラントのデメリット
デメリット01.
健康保険対象外
インプラントは健康保険の対象外となっております。自費治療となるため、治療費は高額になってしまう傾向がありますが、医療費控除の対象となります。高度医療保険に加入されている方は一部適用される場合もございます。
デメリット02.
手術が必要
インプラントを顎の骨に埋め込むために、歯ぐきと顎の骨に数ミリ程度の穴を開ける小さな手術が必要になります。ご高齢の方でも手術を受けることは可能ですが全身や服薬状態によっては手術ができない場合もあります。
デメリット03.
治療期間が長い(3ヶ月以上)
インプラントは手術で骨に埋め込んでから、骨としっかり結合するまで数カ月の期間を要します。そのため、ブリッジや入れ歯の作成に比べると、治療期間は長くなります。
デメリット01.
健康保険対象外
インプラントは健康保険の対象外となっております。自費治療となるため、治療費は高額になってしまう傾向がありますが、医療費控除の対象となります。高度医療保険に加入されている方は一部適用される場合もございます。
デメリット02.
手術が必要
インプラントを顎の骨に埋め込むために、歯ぐきと顎の骨に数ミリ程度の穴を開ける小さな手術が必要になります。ご高齢の方でも手術を受けることは可能ですが全身や服薬状態によっては手術ができない場合もあります。
デメリット03.
治療期間が長い(3ヶ月以上)
インプラントは手術で骨に埋め込んでから、骨としっかり結合するまで数カ月の期間を要します。そのため、ブリッジや入れ歯の作成に比べると、治療期間は長くなります。
デメリット01.
健康保険対象外
インプラントは健康保険の対象外となっております。自費治療となるため、治療費は高額になってしまう傾向がありますが、医療費控除の対象となります。高度医療保険に加入されている方は一部適用される場合もございます。
デメリット02.
手術が必要
インプラントを顎の骨に埋め込むために、歯ぐきと顎の骨に数ミリ程度の穴を開ける小さな手術が必要になります。ご高齢の方でも手術を受けることは可能ですが全身や服薬状態によっては手術ができない場合もあります。
デメリット03.
治療期間が長い(3ヶ月以上)
インプラントは手術で骨に埋め込んでから、骨としっかり結合するまで数カ月の期間を要します。そのため、ブリッジや入れ歯の作成に比べると、治療期間は長くなります。
デメリット01.
健康保険対象外
インプラントは健康保険の対象外となっております。自費治療となるため、治療費は高額になってしまう傾向がありますが、医療費控除の対象となります。高度医療保険に加入されている方は一部適用される場合もございます。
デメリット02.
手術が必要
インプラントを顎の骨に埋め込むために、歯ぐきと顎の骨に数ミリ程度の穴を開ける小さな手術が必要になります。ご高齢の方でも手術を受けることは可能ですが全身や服薬状態によっては手術ができない場合もあります。
デメリット03.
治療期間が長い(3ヶ月以上)
インプラントは手術で骨に埋め込んでから、骨としっかり結合するまで数カ月の期間を要します。そのため、ブリッジや入れ歯の作成に比べると、治療期間は長くなります。
デメリット01.
健康保険対象外
インプラントは健康保険の対象外となっております。自費治療となるため、治療費は高額になってしまう傾向がありますが、医療費控除の対象となります。高度医療保険に加入されている方は一部適用される場合もございます。
デメリット02.
手術が必要
インプラントを顎の骨に埋め込むために、歯ぐきと顎の骨に数ミリ程度の穴を開ける小さな手術が必要になります。ご高齢の方でも手術を受けることは可能ですが全身や服薬状態によっては手術ができない場合もあります。
デメリット03.
治療期間が長い(3ヶ月以上)
インプラントは手術で骨に埋め込んでから、骨としっかり結合するまで数カ月の期間を要します。そのため、ブリッジや入れ歯の作成に比べると、治療期間は長くなります。
デメリット01.
健康保険対象外
インプラントは健康保険の対象外となっております。自費治療となるため、治療費は高額になってしまう傾向がありますが、医療費控除の対象となります。高度医療保険に加入されている方は一部適用される場合もございます。
デメリット02.
手術が必要
インプラントを顎の骨に埋め込むために、歯ぐきと顎の骨に数ミリ程度の穴を開ける小さな手術が必要になります。ご高齢の方でも手術を受けることは可能ですが全身や服薬状態によっては手術ができない場合もあります。
デメリット03.
治療期間が長い(3ヶ月以上)
インプラントは手術で骨に埋め込んでから、骨としっかり結合するまで数カ月の期間を要します。そのため、ブリッジや入れ歯の作成に比べると、治療期間は長くなります。
デメリット01.
健康保険対象外
インプラントは健康保険の対象外となっております。自費治療となるため、治療費は高額になってしまう傾向がありますが、医療費控除の対象となります。高度医療保険に加入されている方は一部適用される場合もございます。
デメリット02.
手術が必要
インプラントを顎の骨に埋め込むために、歯ぐきと顎の骨に数ミリ程度の穴を開ける小さな手術が必要になります。ご高齢の方でも手術を受けることは可能ですが全身や服薬状態によっては手術ができない場合もあります。
デメリット03.
治療期間が長い(3ヶ月以上)
インプラントは手術で骨に埋め込んでから、骨としっかり結合するまで数カ月の期間を要します。そのため、ブリッジや入れ歯の作成に比べると、治療期間は長くなります。
デメリット01.
健康保険対象外
インプラントは健康保険の対象外となっております。自費治療となるため、治療費は高額になってしまう傾向がありますが、医療費控除の対象となります。高度医療保険に加入されている方は一部適用される場合もございます。
デメリット02.
手術が必要
インプラントを顎の骨に埋め込むために、歯ぐきと顎の骨に数ミリ程度の穴を開ける小さな手術が必要になります。ご高齢の方でも手術を受けることは可能ですが全身や服薬状態によっては手術ができない場合もあります。
デメリット03.
治療期間が長い(3ヶ月以上)
インプラントは手術で骨に埋め込んでから、骨としっかり結合するまで数カ月の期間を要します。そのため、ブリッジや入れ歯の作成に比べると、治療期間は長くなります。
TEAM
さらにインプラント治療の
完成度を高めるチーム医療体制




手術後は
「インプラント治療専門の
歯科衛生士」が
担当制でメインテナンスインプラント手術では、術後のメインテナンスがとても重要で、仮に放置することで様々な口腔内のトラブルを引き起こします。プライム総合歯科クリニックでは口腔内を良い状態に保つため、定期的なメインテナンスを呼びかけています。




プライム総合歯科クリニックならではの取り組みとして、インプラント治療専属の歯科衛生士が在籍しており、歯科医師と連携を取りながらお口の定期メインテナンスをしています。
歯科衛生士は担当制で、毎回同じ歯科衛生士が患者さまのお口を確認しメインテナンスします。小さな変化にも気づきやすく、何かあってもすぐにフォローしやすい体制を整えました。その他、必要に応じて栄養指導も行っており、術後は骨の再生に役立つとされる、納豆や緑黄色野菜などビタミンKの多い食品を摂取するようアドバイスなどもしています。



歯科技工所
「デント・ラボラトーリト」
を併設。
歯科技工士との密な連携。インプラント治療の仕上がりは歯科技工士の技術で大きく左右します。プライム総合歯科クリニックではグループ会社として医院に隣接した場所に歯科技工所「デント・ラボラトーリト」を併設しております。デジタル技術が発展してきている現在でも人工歯の製作の仕上げは歯科技工士による手作業で行われます。歯科技工士の仕事は熟練の技術と最新のテクノロジーを組み合わせた職人の技です。




インプラント治療においてはインプラント体に被せる「歯科技工物(被せ物)」の製作が必須となります。多くの歯科医院では、歯科技工所に対して技工物を発注して連携を行いますが、プライム総合歯科クリニックでは常に歯科技工士が近くにいることで、医師と共に、審美面、機能面においての適切な意見を交わすことができます。
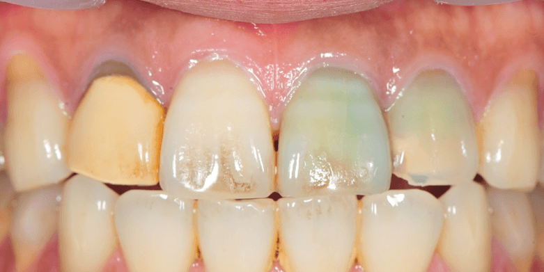
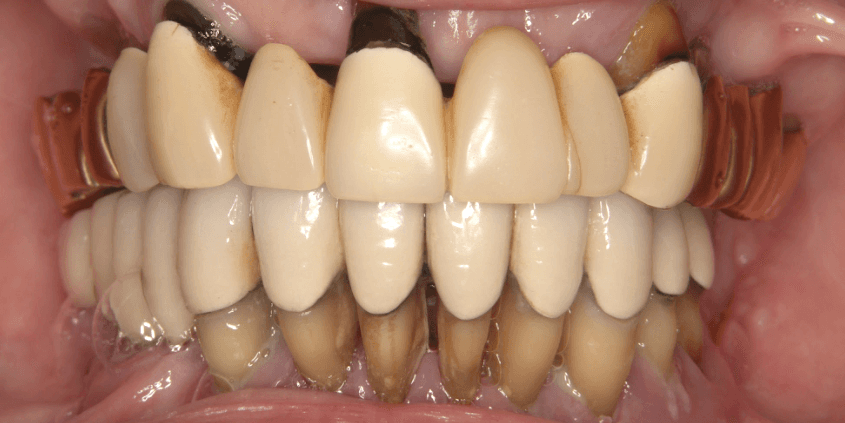
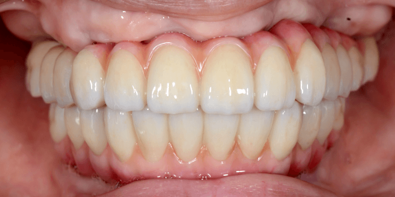
CASE
症例

治療前の写真

治療後の写真
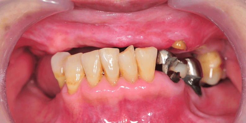
主訴:
上顎の入れ歯が痛い
治療期間:
9ヶ月
治療費:
3,500,000円
治療内容:
上顎に6本のインプラントを入れ、12本の固定式セラミックブリッジを装置した
治療のリスク:
外科処置を必要とする

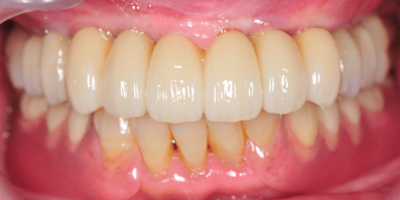
治療前の写真

治療後の写真
主訴:
奥歯を入れてほしい
治療期間:
5ヶ月
治療費:
550,000円(税込)
治療内容:
先天欠如の下顎第二小臼歯にたいしてインプラント治療
治療のリスク:
外科処置を必要とする

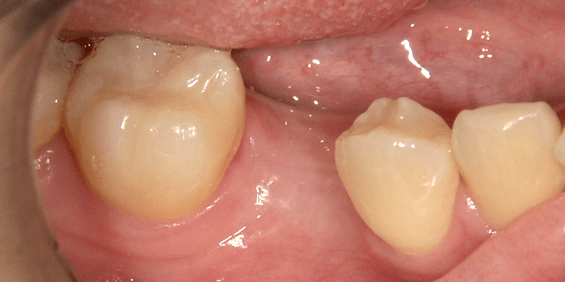
治療前の写真

治療後の写真
主訴:
前歯をきれいにしたい
治療期間:
7ヶ月
治療費:
913,000円(税込)
治療内容:
前歯1歯をインプラント治療をおこない2歯をジルコニアセラミックで修復
治療のリスク:
外科処置を必要とする

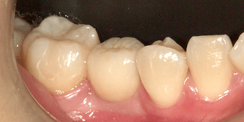
治療前の写真

治療後の写真
主訴:
上下の歯がぐらぐらして噛めない
治療期間:
12ヶ月
治療費:
6,500,000万
治療内容:
重度歯周病の歯を抜歯し、インプラント治療を行い、上下固定式の補綴を装置した
治療のリスク:
外科処置を必要とする

治療前の写真

治療後の写真
主訴:
上顎の入れ歯が痛い
治療期間:
9ヶ月
治療費:
3,500,000円
治療内容:
上顎に6本のインプラントを入れ、12本の固定式セラミックブリッジを装置した
治療のリスク:
外科処置を必要とする

治療前の写真

治療後の写真
主訴:
奥歯を入れてほしい
治療期間:
5ヶ月
治療費:
550,000円(税込)
治療内容:
先天欠如の下顎第二小臼歯にたいしてインプラント治療
治療のリスク:
外科処置を必要とする

治療前の写真

治療後の写真
主訴:
前歯をきれいにしたい
治療期間:
7ヶ月
治療費:
913,000円(税込)
治療内容:
前歯1歯をインプラント治療をおこない2歯をジルコニアセラミックで修復
治療のリスク:
外科処置を必要とする

治療前の写真

治療後の写真
主訴:
上下の歯がぐらぐらして噛めない
治療期間:
12ヶ月
治療費:
6,500,000万
治療内容:
重度歯周病の歯を抜歯し、インプラント治療を行い、上下固定式の補綴を装置した
治療のリスク:
外科処置を必要とする

治療前の写真

治療後の写真
主訴:
上顎の入れ歯が痛い
治療期間:
9ヶ月
治療費:
3,500,000円
治療内容:
上顎に6本のインプラントを入れ、12本の固定式セラミックブリッジを装置した
治療のリスク:
外科処置を必要とする

治療前の写真

治療後の写真
主訴:
奥歯を入れてほしい
治療期間:
5ヶ月
治療費:
550,000円(税込)
治療内容:
先天欠如の下顎第二小臼歯にたいしてインプラント治療
治療のリスク:
外科処置を必要とする

治療前の写真

治療後の写真
主訴:
前歯をきれいにしたい
治療期間:
7ヶ月
治療費:
913,000円(税込)
治療内容:
前歯1歯をインプラント治療をおこない2歯をジルコニアセラミックで修復
治療のリスク:
外科処置を必要とする

治療前の写真

治療後の写真
主訴:
上下の歯がぐらぐらして噛めない
治療期間:
12ヶ月
治療費:
6,500,000万
治療内容:
重度歯周病の歯を抜歯し、インプラント治療を行い、上下固定式の補綴を装置した
治療のリスク:
外科処置を必要とする

治療前の写真

治療後の写真
主訴:
上顎の入れ歯が痛い
治療期間:
9ヶ月
治療費:
3,500,000円
治療内容:
上顎に6本のインプラントを入れ、12本の固定式セラミックブリッジを装置した
治療のリスク:
外科処置を必要とする

治療前の写真

治療後の写真
主訴:
奥歯を入れてほしい
治療期間:
5ヶ月
治療費:
550,000円(税込)
治療内容:
先天欠如の下顎第二小臼歯にたいしてインプラント治療
治療のリスク:
外科処置を必要とする

治療前の写真

治療後の写真
主訴:
前歯をきれいにしたい
治療期間:
7ヶ月
治療費:
913,000円(税込)
治療内容:
前歯1歯をインプラント治療をおこない2歯をジルコニアセラミックで修復
治療のリスク:
外科処置を必要とする

治療前の写真

治療後の写真
主訴:
上下の歯がぐらぐらして噛めない
治療期間:
12ヶ月
治療費:
6,500,000万
治療内容:
重度歯周病の歯を抜歯し、インプラント治療を行い、上下固定式の補綴を装置した
治療のリスク:
外科処置を必要とする

治療前の写真

治療後の写真
主訴:
上顎の入れ歯が痛い
治療期間:
9ヶ月
治療費:
3,500,000円
治療内容:
上顎に6本のインプラントを入れ、12本の固定式セラミックブリッジを装置した
治療のリスク:
外科処置を必要とする

治療前の写真

治療後の写真
主訴:
奥歯を入れてほしい
治療期間:
5ヶ月
治療費:
550,000円(税込)
治療内容:
先天欠如の下顎第二小臼歯にたいしてインプラント治療
治療のリスク:
外科処置を必要とする

治療前の写真

治療後の写真
主訴:
前歯をきれいにしたい
治療期間:
7ヶ月
治療費:
913,000円(税込)
治療内容:
前歯1歯をインプラント治療をおこない2歯をジルコニアセラミックで修復
治療のリスク:
外科処置を必要とする

治療前の写真

治療後の写真
主訴:
上下の歯がぐらぐらして噛めない
治療期間:
12ヶ月
治療費:
6,500,000万
治療内容:
重度歯周病の歯を抜歯し、インプラント治療を行い、上下固定式の補綴を装置した
治療のリスク:
外科処置を必要とする

治療前の写真

治療後の写真
主訴:
上顎の入れ歯が痛い
治療期間:
9ヶ月
治療費:
3,500,000円
治療内容:
上顎に6本のインプラントを入れ、12本の固定式セラミックブリッジを装置した
治療のリスク:
外科処置を必要とする

治療前の写真

治療後の写真
主訴:
奥歯を入れてほしい
治療期間:
5ヶ月
治療費:
550,000円(税込)
治療内容:
先天欠如の下顎第二小臼歯にたいしてインプラント治療
治療のリスク:
外科処置を必要とする

治療前の写真

治療後の写真
主訴:
前歯をきれいにしたい
治療期間:
7ヶ月
治療費:
913,000円(税込)
治療内容:
前歯1歯をインプラント治療をおこない2歯をジルコニアセラミックで修復
治療のリスク:
外科処置を必要とする

治療前の写真

治療後の写真
主訴:
上下の歯がぐらぐらして噛めない
治療期間:
12ヶ月
治療費:
6,500,000万
治療内容:
重度歯周病の歯を抜歯し、インプラント治療を行い、上下固定式の補綴を装置した
治療のリスク:
外科処置を必要とする

治療前の写真

治療後の写真
主訴:
上顎の入れ歯が痛い
治療期間:
9ヶ月
治療費:
3,500,000円
治療内容:
上顎に6本のインプラントを入れ、12本の固定式セラミックブリッジを装置した
治療のリスク:
外科処置を必要とする

治療前の写真

治療後の写真
主訴:
奥歯を入れてほしい
治療期間:
5ヶ月
治療費:
550,000円(税込)
治療内容:
先天欠如の下顎第二小臼歯にたいしてインプラント治療
治療のリスク:
外科処置を必要とする

治療前の写真

治療後の写真
主訴:
前歯をきれいにしたい
治療期間:
7ヶ月
治療費:
913,000円(税込)
治療内容:
前歯1歯をインプラント治療をおこない2歯をジルコニアセラミックで修復
治療のリスク:
外科処置を必要とする

治療前の写真

治療後の写真
主訴:
上下の歯がぐらぐらして噛めない
治療期間:
12ヶ月
治療費:
6,500,000万
治療内容:
重度歯周病の歯を抜歯し、インプラント治療を行い、上下固定式の補綴を装置した
治療のリスク:
外科処置を必要とする

治療前の写真

治療後の写真
主訴:
上顎の入れ歯が痛い
治療期間:
9ヶ月
治療費:
3,500,000円
治療内容:
上顎に6本のインプラントを入れ、12本の固定式セラミックブリッジを装置した
治療のリスク:
外科処置を必要とする

治療前の写真

治療後の写真
主訴:
奥歯を入れてほしい
治療期間:
5ヶ月
治療費:
550,000円(税込)
治療内容:
先天欠如の下顎第二小臼歯にたいしてインプラント治療
治療のリスク:
外科処置を必要とする

治療前の写真

治療後の写真
主訴:
前歯をきれいにしたい
治療期間:
7ヶ月
治療費:
913,000円(税込)
治療内容:
前歯1歯をインプラント治療をおこない2歯をジルコニアセラミックで修復
治療のリスク:
外科処置を必要とする

治療前の写真

治療後の写真
主訴:
上下の歯がぐらぐらして噛めない
治療期間:
12ヶ月
治療費:
6,500,000万
治療内容:
重度歯周病の歯を抜歯し、インプラント治療を行い、上下固定式の補綴を装置した
治療のリスク:
外科処置を必要とする




FLOW
インプラント治療の流れ




01.
(1/8)
カウンセリング/術前診査
初回のカウンセリングでは、インプラント治療の概要やその過程、治療期間、回数、費用の目安などについて詳しく説明いたします。
患者さまのご要望や疑問にも丁寧にお答えし、治療に関する不安や疑問点があれば、どんなことでもお気軽にお尋ねください。来院回数目安:1回
所要時間目安:30分02.
(2/8)
治療計画・手術シュミレーション
レントゲンや、口腔内を立体的に撮影できる歯科用CT、光によって型取りができる口腔内スキャナーなどを使って、お口の状態を細かく検査します。検査結果を元に治療計画を立てます。インプラント治療が必要な部分だけでなく、歯周病や全体の噛み合わせも考慮して治療の計画を策定します。
来院回数目安:1回
所要時間目安:30分03.
(3/8)
術前クリーニング・最終説明
手術の1週間前には、歯科衛生士によるクリーニングを行います。同時に、手術前の最終説明や注意事項も丁寧にお伝えします。患者さまに安心して治療を受けていただくために、治療の内容や手順について十分に説明します。もし分からないことや不安なことがありましたら、どんな些細なことでも遠慮なくご相談ください。
来院回数目安:1回
所要時間目安:30分04.
(4/8)
手術
顎の骨にインプラントを埋め込む手術は水曜日の午前中に予定しています。この手術では、専門の麻酔医と歯科技工士が参加し、インプラント体を顎の骨にしっかりと埋め込みます。インプラント体が骨と結合した後には、アバットメントと呼ばれる部品を取り付けて、上部の人工歯を安定させます。
来院回数目安:1回
所要時間目安:1時間30分-2時間05.
(5/8)
消毒
手術後の2日から3日後には、処置部分の消毒を行います。これにより、手術部位を清潔に保ち、感染のリスクを最小限に抑えます。同時に、インプラント部分のブラッシング指導も行います。適切なブラッシング方法をお伝えし、インプラント周囲の歯肉と処置部分を優しく清潔に保つことが重要です。
来院回数目安:1回
所要時間目安:30分06.
(6/8)
経過観察・型取り
手術後は、経過観察として歯科医師と歯科衛生士が連携して、お口の健康状態を確認します。
手術から2カ月から3カ月が経過したら、専用の機械を使用して、骨とインプラントの接合具合を確認します。この測定を行い、数値に問題がなければ、歯の型取りを行い、上部の歯科技工物(被せ物)を作製します。来院回数目安:複数回
所要時間目安:30分07.
(7/8)
上部構造の装着
インプラント手術後、3ヶ月から6ヶ月の治癒期間を経て、インプラントの上に人工の歯を製作するための光学スキャンを行います。このスキャンにより、精密なデータを取得し、インプラントに合わせたカスタムメイドの人工歯を製作します。その後、製作した人工の歯をインプラントに装着し、治療を完了させます。
来院回数目安:1回
所要時間目安:30分08.
(8/8)
メインテナンス
インプラント後のケアを怠ると「インプラント周囲炎」と呼ばれる歯周病に似た症状が発生する可能性があります。長くインプラントを健康に保つためには治療後は定期的に歯科検診にお越しください。検診では歯科医師と歯科衛生士が連携してお口の状態を確認します。必要に応じて適切なケア方法のアドバイスを行います。
来院回数目安:複数回
所要時間目安:30分01.
(1/8)
カウンセリング/術前診査
初回のカウンセリングでは、インプラント治療の概要やその過程、治療期間、回数、費用の目安などについて詳しく説明いたします。
患者さまのご要望や疑問にも丁寧にお答えし、治療に関する不安や疑問点があれば、どんなことでもお気軽にお尋ねください。来院回数目安:1回
所要時間目安:30分02.
(2/8)
治療計画・手術シュミレーション
レントゲンや、口腔内を立体的に撮影できる歯科用CT、光によって型取りができる口腔内スキャナーなどを使って、お口の状態を細かく検査します。検査結果を元に治療計画を立てます。インプラント治療が必要な部分だけでなく、歯周病や全体の噛み合わせも考慮して治療の計画を策定します。
来院回数目安:1回
所要時間目安:30分03.
(3/8)
術前クリーニング・最終説明
手術の1週間前には、歯科衛生士によるクリーニングを行います。同時に、手術前の最終説明や注意事項も丁寧にお伝えします。患者さまに安心して治療を受けていただくために、治療の内容や手順について十分に説明します。もし分からないことや不安なことがありましたら、どんな些細なことでも遠慮なくご相談ください。
来院回数目安:1回
所要時間目安:30分04.
(4/8)
手術
顎の骨にインプラントを埋め込む手術は水曜日の午前中に予定しています。この手術では、専門の麻酔医と歯科技工士が参加し、インプラント体を顎の骨にしっかりと埋め込みます。インプラント体が骨と結合した後には、アバットメントと呼ばれる部品を取り付けて、上部の人工歯を安定させます。
来院回数目安:1回
所要時間目安:1時間30分-2時間05.
(5/8)
消毒
手術後の2日から3日後には、処置部分の消毒を行います。これにより、手術部位を清潔に保ち、感染のリスクを最小限に抑えます。同時に、インプラント部分のブラッシング指導も行います。適切なブラッシング方法をお伝えし、インプラント周囲の歯肉と処置部分を優しく清潔に保つことが重要です。
来院回数目安:1回
所要時間目安:30分06.
(6/8)
経過観察・型取り
手術後は、経過観察として歯科医師と歯科衛生士が連携して、お口の健康状態を確認します。
手術から2カ月から3カ月が経過したら、専用の機械を使用して、骨とインプラントの接合具合を確認します。この測定を行い、数値に問題がなければ、歯の型取りを行い、上部の歯科技工物(被せ物)を作製します。来院回数目安:複数回
所要時間目安:30分07.
(7/8)
上部構造の装着
インプラント手術後、3ヶ月から6ヶ月の治癒期間を経て、インプラントの上に人工の歯を製作するための光学スキャンを行います。このスキャンにより、精密なデータを取得し、インプラントに合わせたカスタムメイドの人工歯を製作します。その後、製作した人工の歯をインプラントに装着し、治療を完了させます。
来院回数目安:1回
所要時間目安:30分08.
(8/8)
メインテナンス
インプラント後のケアを怠ると「インプラント周囲炎」と呼ばれる歯周病に似た症状が発生する可能性があります。長くインプラントを健康に保つためには治療後は定期的に歯科検診にお越しください。検診では歯科医師と歯科衛生士が連携してお口の状態を確認します。必要に応じて適切なケア方法のアドバイスを行います。
来院回数目安:複数回
所要時間目安:30分01.
(1/8)
カウンセリング/術前診査
初回のカウンセリングでは、インプラント治療の概要やその過程、治療期間、回数、費用の目安などについて詳しく説明いたします。
患者さまのご要望や疑問にも丁寧にお答えし、治療に関する不安や疑問点があれば、どんなことでもお気軽にお尋ねください。来院回数目安:1回
所要時間目安:30分02.
(2/8)
治療計画・手術シュミレーション
レントゲンや、口腔内を立体的に撮影できる歯科用CT、光によって型取りができる口腔内スキャナーなどを使って、お口の状態を細かく検査します。検査結果を元に治療計画を立てます。インプラント治療が必要な部分だけでなく、歯周病や全体の噛み合わせも考慮して治療の計画を策定します。
来院回数目安:1回
所要時間目安:30分03.
(3/8)
術前クリーニング・最終説明
手術の1週間前には、歯科衛生士によるクリーニングを行います。同時に、手術前の最終説明や注意事項も丁寧にお伝えします。患者さまに安心して治療を受けていただくために、治療の内容や手順について十分に説明します。もし分からないことや不安なことがありましたら、どんな些細なことでも遠慮なくご相談ください。
来院回数目安:1回
所要時間目安:30分04.
(4/8)
手術
顎の骨にインプラントを埋め込む手術は水曜日の午前中に予定しています。この手術では、専門の麻酔医と歯科技工士が参加し、インプラント体を顎の骨にしっかりと埋め込みます。インプラント体が骨と結合した後には、アバットメントと呼ばれる部品を取り付けて、上部の人工歯を安定させます。
来院回数目安:1回
所要時間目安:1時間30分-2時間05.
(5/8)
消毒
手術後の2日から3日後には、処置部分の消毒を行います。これにより、手術部位を清潔に保ち、感染のリスクを最小限に抑えます。同時に、インプラント部分のブラッシング指導も行います。適切なブラッシング方法をお伝えし、インプラント周囲の歯肉と処置部分を優しく清潔に保つことが重要です。
来院回数目安:1回
所要時間目安:30分06.
(6/8)
経過観察・型取り
手術後は、経過観察として歯科医師と歯科衛生士が連携して、お口の健康状態を確認します。
手術から2カ月から3カ月が経過したら、専用の機械を使用して、骨とインプラントの接合具合を確認します。この測定を行い、数値に問題がなければ、歯の型取りを行い、上部の歯科技工物(被せ物)を作製します。来院回数目安:複数回
所要時間目安:30分07.
(7/8)
上部構造の装着
インプラント手術後、3ヶ月から6ヶ月の治癒期間を経て、インプラントの上に人工の歯を製作するための光学スキャンを行います。このスキャンにより、精密なデータを取得し、インプラントに合わせたカスタムメイドの人工歯を製作します。その後、製作した人工の歯をインプラントに装着し、治療を完了させます。
来院回数目安:1回
所要時間目安:30分08.
(8/8)
メインテナンス
インプラント後のケアを怠ると「インプラント周囲炎」と呼ばれる歯周病に似た症状が発生する可能性があります。長くインプラントを健康に保つためには治療後は定期的に歯科検診にお越しください。検診では歯科医師と歯科衛生士が連携してお口の状態を確認します。必要に応じて適切なケア方法のアドバイスを行います。
来院回数目安:複数回
所要時間目安:30分01.
(1/8)
カウンセリング/術前診査
初回のカウンセリングでは、インプラント治療の概要やその過程、治療期間、回数、費用の目安などについて詳しく説明いたします。
患者さまのご要望や疑問にも丁寧にお答えし、治療に関する不安や疑問点があれば、どんなことでもお気軽にお尋ねください。来院回数目安:1回
所要時間目安:30分02.
(2/8)
治療計画・手術シュミレーション
レントゲンや、口腔内を立体的に撮影できる歯科用CT、光によって型取りができる口腔内スキャナーなどを使って、お口の状態を細かく検査します。検査結果を元に治療計画を立てます。インプラント治療が必要な部分だけでなく、歯周病や全体の噛み合わせも考慮して治療の計画を策定します。
来院回数目安:1回
所要時間目安:30分03.
(3/8)
術前クリーニング・最終説明
手術の1週間前には、歯科衛生士によるクリーニングを行います。同時に、手術前の最終説明や注意事項も丁寧にお伝えします。患者さまに安心して治療を受けていただくために、治療の内容や手順について十分に説明します。もし分からないことや不安なことがありましたら、どんな些細なことでも遠慮なくご相談ください。
来院回数目安:1回
所要時間目安:30分04.
(4/8)
手術
顎の骨にインプラントを埋め込む手術は水曜日の午前中に予定しています。この手術では、専門の麻酔医と歯科技工士が参加し、インプラント体を顎の骨にしっかりと埋め込みます。インプラント体が骨と結合した後には、アバットメントと呼ばれる部品を取り付けて、上部の人工歯を安定させます。
来院回数目安:1回
所要時間目安:1時間30分-2時間05.
(5/8)
消毒
手術後の2日から3日後には、処置部分の消毒を行います。これにより、手術部位を清潔に保ち、感染のリスクを最小限に抑えます。同時に、インプラント部分のブラッシング指導も行います。適切なブラッシング方法をお伝えし、インプラント周囲の歯肉と処置部分を優しく清潔に保つことが重要です。
来院回数目安:1回
所要時間目安:30分06.
(6/8)
経過観察・型取り
手術後は、経過観察として歯科医師と歯科衛生士が連携して、お口の健康状態を確認します。
手術から2カ月から3カ月が経過したら、専用の機械を使用して、骨とインプラントの接合具合を確認します。この測定を行い、数値に問題がなければ、歯の型取りを行い、上部の歯科技工物(被せ物)を作製します。来院回数目安:複数回
所要時間目安:30分07.
(7/8)
上部構造の装着
インプラント手術後、3ヶ月から6ヶ月の治癒期間を経て、インプラントの上に人工の歯を製作するための光学スキャンを行います。このスキャンにより、精密なデータを取得し、インプラントに合わせたカスタムメイドの人工歯を製作します。その後、製作した人工の歯をインプラントに装着し、治療を完了させます。
来院回数目安:1回
所要時間目安:30分08.
(8/8)
メインテナンス
インプラント後のケアを怠ると「インプラント周囲炎」と呼ばれる歯周病に似た症状が発生する可能性があります。長くインプラントを健康に保つためには治療後は定期的に歯科検診にお越しください。検診では歯科医師と歯科衛生士が連携してお口の状態を確認します。必要に応じて適切なケア方法のアドバイスを行います。
来院回数目安:複数回
所要時間目安:30分
01.
(1/8)
カウンセリング/術前診査
初回のカウンセリングでは、インプラント治療の概要やその過程、治療期間、回数、費用の目安などについて詳しく説明いたします。
患者さまのご要望や疑問にも丁寧にお答えし、治療に関する不安や疑問点があれば、どんなことでもお気軽にお尋ねください。来院回数目安:1回
所要時間目安:30分02.
(2/8)
治療計画・手術シュミレーション
レントゲンや、口腔内を立体的に撮影できる歯科用CT、光によって型取りができる口腔内スキャナーなどを使って、お口の状態を細かく検査します。検査結果を元に治療計画を立てます。インプラント治療が必要な部分だけでなく、歯周病や全体の噛み合わせも考慮して治療の計画を策定します。
来院回数目安:1回
所要時間目安:30分03.
(3/8)
術前クリーニング・最終説明
手術の1週間前には、歯科衛生士によるクリーニングを行います。同時に、手術前の最終説明や注意事項も丁寧にお伝えします。患者さまに安心して治療を受けていただくために、治療の内容や手順について十分に説明します。もし分からないことや不安なことがありましたら、どんな些細なことでも遠慮なくご相談ください。
来院回数目安:1回
所要時間目安:30分04.
(4/8)
手術
顎の骨にインプラントを埋め込む手術は水曜日の午前中に予定しています。この手術では、専門の麻酔医と歯科技工士が参加し、インプラント体を顎の骨にしっかりと埋め込みます。インプラント体が骨と結合した後には、アバットメントと呼ばれる部品を取り付けて、上部の人工歯を安定させます。
来院回数目安:1回
所要時間目安:1時間30分-2時間05.
(5/8)
消毒
手術後の2日から3日後には、処置部分の消毒を行います。これにより、手術部位を清潔に保ち、感染のリスクを最小限に抑えます。同時に、インプラント部分のブラッシング指導も行います。適切なブラッシング方法をお伝えし、インプラント周囲の歯肉と処置部分を優しく清潔に保つことが重要です。
来院回数目安:1回
所要時間目安:30分06.
(6/8)
経過観察・型取り
手術後は、経過観察として歯科医師と歯科衛生士が連携して、お口の健康状態を確認します。
手術から2カ月から3カ月が経過したら、専用の機械を使用して、骨とインプラントの接合具合を確認します。この測定を行い、数値に問題がなければ、歯の型取りを行い、上部の歯科技工物(被せ物)を作製します。来院回数目安:複数回
所要時間目安:30分07.
(7/8)
上部構造の装着
インプラント手術後、3ヶ月から6ヶ月の治癒期間を経て、インプラントの上に人工の歯を製作するための光学スキャンを行います。このスキャンにより、精密なデータを取得し、インプラントに合わせたカスタムメイドの人工歯を製作します。その後、製作した人工の歯をインプラントに装着し、治療を完了させます。
来院回数目安:1回
所要時間目安:30分08.
(8/8)
メインテナンス
インプラント後のケアを怠ると「インプラント周囲炎」と呼ばれる歯周病に似た症状が発生する可能性があります。長くインプラントを健康に保つためには治療後は定期的に歯科検診にお越しください。検診では歯科医師と歯科衛生士が連携してお口の状態を確認します。必要に応じて適切なケア方法のアドバイスを行います。
来院回数目安:複数回
所要時間目安:30分01.
(1/8)
カウンセリング/術前診査
初回のカウンセリングでは、インプラント治療の概要やその過程、治療期間、回数、費用の目安などについて詳しく説明いたします。
患者さまのご要望や疑問にも丁寧にお答えし、治療に関する不安や疑問点があれば、どんなことでもお気軽にお尋ねください。来院回数目安:1回
所要時間目安:30分02.
(2/8)
治療計画・手術シュミレーション
レントゲンや、口腔内を立体的に撮影できる歯科用CT、光によって型取りができる口腔内スキャナーなどを使って、お口の状態を細かく検査します。検査結果を元に治療計画を立てます。インプラント治療が必要な部分だけでなく、歯周病や全体の噛み合わせも考慮して治療の計画を策定します。
来院回数目安:1回
所要時間目安:30分03.
(3/8)
術前クリーニング・最終説明
手術の1週間前には、歯科衛生士によるクリーニングを行います。同時に、手術前の最終説明や注意事項も丁寧にお伝えします。患者さまに安心して治療を受けていただくために、治療の内容や手順について十分に説明します。もし分からないことや不安なことがありましたら、どんな些細なことでも遠慮なくご相談ください。
来院回数目安:1回
所要時間目安:30分04.
(4/8)
手術
顎の骨にインプラントを埋め込む手術は水曜日の午前中に予定しています。この手術では、専門の麻酔医と歯科技工士が参加し、インプラント体を顎の骨にしっかりと埋め込みます。インプラント体が骨と結合した後には、アバットメントと呼ばれる部品を取り付けて、上部の人工歯を安定させます。
来院回数目安:1回
所要時間目安:1時間30分-2時間05.
(5/8)
消毒
手術後の2日から3日後には、処置部分の消毒を行います。これにより、手術部位を清潔に保ち、感染のリスクを最小限に抑えます。同時に、インプラント部分のブラッシング指導も行います。適切なブラッシング方法をお伝えし、インプラント周囲の歯肉と処置部分を優しく清潔に保つことが重要です。
来院回数目安:1回
所要時間目安:30分06.
(6/8)
経過観察・型取り
手術後は、経過観察として歯科医師と歯科衛生士が連携して、お口の健康状態を確認します。
手術から2カ月から3カ月が経過したら、専用の機械を使用して、骨とインプラントの接合具合を確認します。この測定を行い、数値に問題がなければ、歯の型取りを行い、上部の歯科技工物(被せ物)を作製します。来院回数目安:複数回
所要時間目安:30分07.
(7/8)
上部構造の装着
インプラント手術後、3ヶ月から6ヶ月の治癒期間を経て、インプラントの上に人工の歯を製作するための光学スキャンを行います。このスキャンにより、精密なデータを取得し、インプラントに合わせたカスタムメイドの人工歯を製作します。その後、製作した人工の歯をインプラントに装着し、治療を完了させます。
来院回数目安:1回
所要時間目安:30分08.
(8/8)
メインテナンス
インプラント後のケアを怠ると「インプラント周囲炎」と呼ばれる歯周病に似た症状が発生する可能性があります。長くインプラントを健康に保つためには治療後は定期的に歯科検診にお越しください。検診では歯科医師と歯科衛生士が連携してお口の状態を確認します。必要に応じて適切なケア方法のアドバイスを行います。
来院回数目安:複数回
所要時間目安:30分01.
(1/8)
カウンセリング/術前診査
初回のカウンセリングでは、インプラント治療の概要やその過程、治療期間、回数、費用の目安などについて詳しく説明いたします。
患者さまのご要望や疑問にも丁寧にお答えし、治療に関する不安や疑問点があれば、どんなことでもお気軽にお尋ねください。来院回数目安:1回
所要時間目安:30分02.
(2/8)
治療計画・手術シュミレーション
レントゲンや、口腔内を立体的に撮影できる歯科用CT、光によって型取りができる口腔内スキャナーなどを使って、お口の状態を細かく検査します。検査結果を元に治療計画を立てます。インプラント治療が必要な部分だけでなく、歯周病や全体の噛み合わせも考慮して治療の計画を策定します。
来院回数目安:1回
所要時間目安:30分03.
(3/8)
術前クリーニング・最終説明
手術の1週間前には、歯科衛生士によるクリーニングを行います。同時に、手術前の最終説明や注意事項も丁寧にお伝えします。患者さまに安心して治療を受けていただくために、治療の内容や手順について十分に説明します。もし分からないことや不安なことがありましたら、どんな些細なことでも遠慮なくご相談ください。
来院回数目安:1回
所要時間目安:30分04.
(4/8)
手術
顎の骨にインプラントを埋め込む手術は水曜日の午前中に予定しています。この手術では、専門の麻酔医と歯科技工士が参加し、インプラント体を顎の骨にしっかりと埋め込みます。インプラント体が骨と結合した後には、アバットメントと呼ばれる部品を取り付けて、上部の人工歯を安定させます。
来院回数目安:1回
所要時間目安:1時間30分-2時間05.
(5/8)
消毒
手術後の2日から3日後には、処置部分の消毒を行います。これにより、手術部位を清潔に保ち、感染のリスクを最小限に抑えます。同時に、インプラント部分のブラッシング指導も行います。適切なブラッシング方法をお伝えし、インプラント周囲の歯肉と処置部分を優しく清潔に保つことが重要です。
来院回数目安:1回
所要時間目安:30分06.
(6/8)
経過観察・型取り
手術後は、経過観察として歯科医師と歯科衛生士が連携して、お口の健康状態を確認します。
手術から2カ月から3カ月が経過したら、専用の機械を使用して、骨とインプラントの接合具合を確認します。この測定を行い、数値に問題がなければ、歯の型取りを行い、上部の歯科技工物(被せ物)を作製します。来院回数目安:複数回
所要時間目安:30分07.
(7/8)
上部構造の装着
インプラント手術後、3ヶ月から6ヶ月の治癒期間を経て、インプラントの上に人工の歯を製作するための光学スキャンを行います。このスキャンにより、精密なデータを取得し、インプラントに合わせたカスタムメイドの人工歯を製作します。その後、製作した人工の歯をインプラントに装着し、治療を完了させます。
来院回数目安:1回
所要時間目安:30分08.
(8/8)
メインテナンス
インプラント後のケアを怠ると「インプラント周囲炎」と呼ばれる歯周病に似た症状が発生する可能性があります。長くインプラントを健康に保つためには治療後は定期的に歯科検診にお越しください。検診では歯科医師と歯科衛生士が連携してお口の状態を確認します。必要に応じて適切なケア方法のアドバイスを行います。
来院回数目安:複数回
所要時間目安:30分01.
(1/8)
カウンセリング/術前診査
初回のカウンセリングでは、インプラント治療の概要やその過程、治療期間、回数、費用の目安などについて詳しく説明いたします。
患者さまのご要望や疑問にも丁寧にお答えし、治療に関する不安や疑問点があれば、どんなことでもお気軽にお尋ねください。来院回数目安:1回
所要時間目安:30分02.
(2/8)
治療計画・手術シュミレーション
レントゲンや、口腔内を立体的に撮影できる歯科用CT、光によって型取りができる口腔内スキャナーなどを使って、お口の状態を細かく検査します。検査結果を元に治療計画を立てます。インプラント治療が必要な部分だけでなく、歯周病や全体の噛み合わせも考慮して治療の計画を策定します。
来院回数目安:1回
所要時間目安:30分03.
(3/8)
術前クリーニング・最終説明
手術の1週間前には、歯科衛生士によるクリーニングを行います。同時に、手術前の最終説明や注意事項も丁寧にお伝えします。患者さまに安心して治療を受けていただくために、治療の内容や手順について十分に説明します。もし分からないことや不安なことがありましたら、どんな些細なことでも遠慮なくご相談ください。
来院回数目安:1回
所要時間目安:30分04.
(4/8)
手術
顎の骨にインプラントを埋め込む手術は水曜日の午前中に予定しています。この手術では、専門の麻酔医と歯科技工士が参加し、インプラント体を顎の骨にしっかりと埋め込みます。インプラント体が骨と結合した後には、アバットメントと呼ばれる部品を取り付けて、上部の人工歯を安定させます。
来院回数目安:1回
所要時間目安:1時間30分-2時間05.
(5/8)
消毒
手術後の2日から3日後には、処置部分の消毒を行います。これにより、手術部位を清潔に保ち、感染のリスクを最小限に抑えます。同時に、インプラント部分のブラッシング指導も行います。適切なブラッシング方法をお伝えし、インプラント周囲の歯肉と処置部分を優しく清潔に保つことが重要です。
来院回数目安:1回
所要時間目安:30分06.
(6/8)
経過観察・型取り
手術後は、経過観察として歯科医師と歯科衛生士が連携して、お口の健康状態を確認します。
手術から2カ月から3カ月が経過したら、専用の機械を使用して、骨とインプラントの接合具合を確認します。この測定を行い、数値に問題がなければ、歯の型取りを行い、上部の歯科技工物(被せ物)を作製します。来院回数目安:複数回
所要時間目安:30分07.
(7/8)
上部構造の装着
インプラント手術後、3ヶ月から6ヶ月の治癒期間を経て、インプラントの上に人工の歯を製作するための光学スキャンを行います。このスキャンにより、精密なデータを取得し、インプラントに合わせたカスタムメイドの人工歯を製作します。その後、製作した人工の歯をインプラントに装着し、治療を完了させます。
来院回数目安:1回
所要時間目安:30分08.
(8/8)
メインテナンス
インプラント後のケアを怠ると「インプラント周囲炎」と呼ばれる歯周病に似た症状が発生する可能性があります。長くインプラントを健康に保つためには治療後は定期的に歯科検診にお越しください。検診では歯科医師と歯科衛生士が連携してお口の状態を確認します。必要に応じて適切なケア方法のアドバイスを行います。
来院回数目安:複数回
所要時間目安:30分
FAQ
インプラント治療の
よくあるご質問
歯周病があってもインプラント治療を受けることができますか?
インプラント手術によって、痛みを感じたり、歯茎が腫れたりすることはありますか?
年齢が理由でインプラント治療を受けられないことはありますか?
金属アレルギーがあっても、インプラント治療は受けられますか?
インプラントはどれぐらい長持ちしますか?
歯周病があってもインプラント治療を受けることができますか?
インプラント手術によって、痛みを感じたり、歯茎が腫れたりすることはありますか?
年齢が理由でインプラント治療を受けられないことはありますか?
金属アレルギーがあっても、インプラント治療は受けられますか?
インプラントはどれぐらい長持ちしますか?
歯周病があってもインプラント治療を受けることができますか?
インプラント手術によって、痛みを感じたり、歯茎が腫れたりすることはありますか?
年齢が理由でインプラント治療を受けられないことはありますか?
金属アレルギーがあっても、インプラント治療は受けられますか?
インプラントはどれぐらい長持ちしますか?
歯周病があってもインプラント治療を受けることができますか?
インプラント手術によって、痛みを感じたり、歯茎が腫れたりすることはありますか?
年齢が理由でインプラント治療を受けられないことはありますか?
金属アレルギーがあっても、インプラント治療は受けられますか?
インプラントはどれぐらい長持ちしますか?




PRICE
インプラント治療の費用
※治療一覧に記載の施術はすべて自由診療です
標準料金(税込)
¥550,000
相談・検査・診断・治療までの標準料金
内訳
診断料:
¥38,500
インプラント費用:
¥357,500
上部構造(ジルコニアセラミック)
¥82,500
ヒーリングアバットメント:
¥22,000
チタンアバットメント:
¥77,000
サージカルガイド:
¥55,000
その他の料金
静脈内鎮静法:
¥77,000
※必要な方のみ
概要
治療期間目安
4カ月-6カ月
治療回数目安
8-10回
メーカー名
オステムインプラント(韓国)
カムログ(ドイツ)
ノーベルバイオケア(スウェーデン)
構造・術式
2ピース/1回法・2回法
メンテナンス頻度・費用
頻度:
3カ月/1回
費用:
天然歯が1本もなく、全歯インプラントの場合は5,500円(税込)/1回
リスク・副作用
手術の直後は違和感や痛み、腫れ、出血などが発生する場合があります。これらの症状のほとんどは一時的で、数日程度で治まります
担当歯科医師
石井弘之 院長
保証について
年数:
インプラント体は10年、上部構造は5年です。保証開始は、どちらも人工歯を装着した日からになります。
条件:
定期的なメンテナンスにご来院されていること。検診を受けずに歯周病などが重症化した場合には、保証の対象外となるためご注意ください。





PRIME DENTAL CLINIC
インプラント
無料カウンセリング
実施中

087-813-8955
お電話でのお問合せもお気軽に

インプラント手術に関するお悩み、
まずはお気軽にご相談を!
プライム総合歯科クリニックではインプラント治療をご検討される方が、ご納得いただいて治療をはじめられるよう、無料のカウンセリングを行なっております。 インプラントについてもっと詳しく知りたい方や、他院でインプラント治療ができないと言われた方も、どんなことでもお気軽にご質問ください。
カウンセリングを大切に!
私たちが目指すのは、常に患者さまを中心とした医療です。それぞれの治療の特徴をしっかりと説明し、ご理解・ご納得いただいてから治療に入ります。一人一人の患者さまに最適な治療を選び、末長く歯の健康をサポートするために、私たちはカウンセリングをとても大切にしています。

PRIME DENTAL CLINIC
インプラント
無料カウンセリング
実施中

087-813-8955
お電話でのお問合せもお気軽に

インプラント手術に関するお悩み、
まずはお気軽にご相談を!
プライム総合歯科クリニックではインプラント治療をご検討される方が、ご納得いただいて治療をはじめられるよう、無料のカウンセリングを行なっております。 インプラントについてもっと詳しく知りたい方や、他院でインプラント治療ができないと言われた方も、どんなことでもお気軽にご質問ください。
カウンセリングを大切に!
私たちが目指すのは、常に患者さまを中心とした医療です。それぞれの治療の特徴をしっかりと説明し、ご理解・ご納得いただいてから治療に入ります。一人一人の患者さまに最適な治療を選び、末長く歯の健康をサポートするために、私たちはカウンセリングをとても大切にしています。

PRIME DENTAL CLINIC
インプラント
無料カウンセリング
実施中

087-813-8955
お電話でのお問合せもお気軽に

インプラント手術に関するお悩み、
まずはお気軽にご相談を!
プライム総合歯科クリニックではインプラント治療をご検討される方が、ご納得いただいて治療をはじめられるよう、無料のカウンセリングを行なっております。 インプラントについてもっと詳しく知りたい方や、他院でインプラント治療ができないと言われた方も、どんなことでもお気軽にご質問ください。
カウンセリングを大切に!
私たちが目指すのは、常に患者さまを中心とした医療です。それぞれの治療の特徴をしっかりと説明し、ご理解・ご納得いただいてから治療に入ります。一人一人の患者さまに最適な治療を選び、末長く歯の健康をサポートするために、私たちはカウンセリングをとても大切にしています。

PRIME DENTAL CLINIC
インプラント
無料カウンセリング
実施中

087-813-8955
お電話でのお問合せもお気軽に

インプラント手術に関するお悩み、
まずはお気軽にご相談を!
プライム総合歯科クリニックではインプラント治療をご検討される方が、ご納得いただいて治療をはじめられるよう、無料のカウンセリングを行なっております。 インプラントについてもっと詳しく知りたい方や、他院でインプラント治療ができないと言われた方も、どんなことでもお気軽にご質問ください。
カウンセリングを大切に!
私たちが目指すのは、常に患者さまを中心とした医療です。それぞれの治療の特徴をしっかりと説明し、ご理解・ご納得いただいてから治療に入ります。一人一人の患者さまに最適な治療を選び、末長く歯の健康をサポートするために、私たちはカウンセリングをとても大切にしています。


INFORMATION
診療時間
月
火
水
木
金
土
日
9:00-13:00
手術
14:00-17:30
診療時間:午前9:00-13:00/午後14:00-17:30
休診日:日曜・祝日
〒761-8076 香川県高松市多肥上町字松林1292-1
高松レインボー通り・済生会病院前






Copyright@PRIME DENTAL CLINIC


INFORMATION
診療時間
月
火
水
木
金
土
日
9:00-13:00
手術
14:00-17:30
診療時間:午前9:00-13:00/午後14:00-17:30
休診日:日曜・祝日
〒761-8076 香川県高松市多肥上町字松林1292-1
高松レインボー通り・済生会病院前






Copyright@PRIME DENTAL CLINIC


INFORMATION
診療時間
月
火
水
木
金
土
日
9:00-13:00
手術
14:00-17:30
診療時間:午前9:00-13:00/午後14:00-17:30
休診日:日曜・祝日
〒761-8076 香川県高松市多肥上町字松林1292-1
高松レインボー通り・済生会病院前






Copyright@PRIME DENTAL CLINIC


プライム総合歯科クリニック
香川県高松市のインプラント手術なら
プライム総合歯科クリニックへ


プライム総合歯科クリニック
香川県高松市のインプラント手術なら
プライム総合歯科クリニックへ


プライム総合歯科クリニック


プライム総合歯科クリニック

INFORMATION
診療時間
月
火
水
木
金
土
日
9:00-13:00
手術
14:00-17:30
〒761-8076 香川県高松市多肥上町字松林1292-1
高松レインボー通り・済生会病院前
まずはお気軽にご相談を!
プライム総合歯科クリニックではインプラント治療をご納得いただいて治療をはじめられるよう、無料カウンセリングを行なっております。 治療について詳しく知りたい方や、他院でインプラント治療ができないと言われた方も、お気軽にご質問ください。

INFORMATION
診療時間
月
火
水
木
金
土
日
9:00-13:00
手術
14:00-17:30
〒761-8076 香川県高松市多肥上町字松林1292-1
高松レインボー通り・済生会病院前
まずはお気軽にご相談を!
プライム総合歯科クリニックではインプラント治療をご納得いただいて治療をはじめられるよう、無料カウンセリングを行なっております。 治療について詳しく知りたい方や、他院でインプラント治療ができないと言われた方も、お気軽にご質問ください。













